| ProductName | Cat# | Clone# | Isotype | Applications | Reactivity | Unit/Size |
| AntiHumanAR | PP-H7507-00 | H7507 | IgG2a | EL,WB,IP,IHC | Hu,Mo,Ra | 100ug/0.1ml |
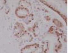
*Immunohistochemistry

Immunohistochemistry:HumanProstateglandparaffinsection
*Description
Androgenreceptor(AR;NR3C4)isamemberofsteroidreceptor(ER,GR,MR,PR).5a-dihydroteststeronecanbindtotheARasaligand.ARisexpressedinmosttissues.ARisassociatedwithatleastthreetypesofdiseases:X-linkedandrogeninsensivity,spinal/bulbarmusclaratrophyandcancer.Inpresenceofitsligand,ARbindsasahomodimertosequencecalledARE(androgenresponseelement).ARhasbeenshowntobeabletoformheterodimerswithGR.TwoisoformsofARwereidentifiedinhumangenitalskinfibroblasts.Thelargeisoformof110kDa(calledAR-B)correspondstothebonafidereceptor,whereasthesmalloneof87kDa(AR-A)initiateonaninternalinitiationcodon.
SpecSheetPP-H7507-00(PDFFile)
| Alias | AR,Androgenreceptor,Dihydrotestosteronereceptor |
| GeNEBank | M20132 |
| Nomenclature | NR3C4 |
| Origin | ProducedinBALB/cmouseascitesafterinoculationwithhybridomaofmousemyelomacells(NS-1)andspleencellsderivedfromaBALB/cmouseimmunizedwithBaculovirus-expressedrecombinanthumanAR(2-53aa). |
| Specificity | ThisantibodyspecificallyrecognizeshumanARandcrossreactswithmouseandratAR. |
| Purification | Ammoniumsulfatefractionation |
| Formulation | Physiologicalsalinewith0.1%NaN3asapreservative. |
| Storage | Storeat2C-8Cuptoonemonth.Forlong-termstorage,thesolutionmaybefrozeninworkingaliquots.Repeatedfreezingandthawingisnotrecommended.Storageinafrost-freefreezerisnotrecommended. |
| Reference | |
| Note | Sodiumazidemayreactwithleadandcopperplumbingtoformexplosivemetalazides.Flushwithlargeamountsofwaterduringdisposal. |
Cautionmustbetakentoavoidcontactwithskinoreyes.Insuchacase,rinsethoroughlyatoncewithwater.Donotingest,inhale,orswallow.Seekmedicalattentionimmediately.Wearappropriateprotectiveclothingsuchaslaboratoryoveralls,safetyglassesandgloves.Itisstronglyadvisedthatthisproductshouldbehandledbypeoplewhohavebeenwelltrainedinlaboratorytechniquesandthatitishandledwithcarepursuanttotheprinciplesofgoodlaboratorypractice.Allchemicalsaredeemedpotentiallyharmful.Thevialispronetofallover.Usecaution,especiallywhenthelidisoff.
FORRESEARCHUSEONLY,NOTFORUSEINDIAGNOSTICPROCEDURES.
*Remark-Icon:
EL=ELISA,WB=WesternBlotting,NW=Non-reducingWesternBlotting,S=SuperShiftAssay.IP=Immunoprecipitation,IHC=Immunohistochemistory,CH=ChIPAssay
Hu=Human,Mo=Mouse,Ra=Rat
Manufacturedby:PerseusProteomics,Inc.
Questionsaboutthisproduct?Readytoplaceanorder? 蚂蚁淘电商平台
ebiomall.com
公司简介
蚂蚁淘(www.ebiomall.cn)是中国大陆目前唯一的生物医疗科研用品B2B跨境交易平台,
该平台由多位经验丰富的生物人和IT人负责运营。蚂蚁淘B2B模式是指客户有采购意向后在蚂蚁
淘搜索全球供应信息,找到合适的产品后在蚂蚁淘下单,然后蚂蚁淘的海外买手进行跨境采购、
运输到中国口岸,最后由蚂蚁淘国内团队报关运输给客户...
蚂蚁淘承诺
正品保证: 全球直采 在线追溯
蚂蚁淘所有产品都是自运营的,我们已经跟国外多家厂方建立品牌推广合作关系, 获得对方的支持和授权; 同时客户可以通过订单详情查看到货物从厂方至客户的所有流程, 确保货物的来源; 正规报关,提供13%增值税发票。
及时交付: 限时必达 畅选无忧
蚂蚁淘的运营团队都是有着多年经验的成员,他们熟悉海外采购、仓储物流、报关等环节; 同时通过在线的流程监控,蚂蚁淘的进口速度比传统企业提高了50%以上, 部分产品甚至能做到7-10天到货,即蚂蚁淘的“时必达”服务。
轻松采购: 在线下单 简单省事
蚂蚁淘的价格是真实透明的,并且具有很大的价格优势,不需要繁杂的询价比价; 报价单与合同可以直接在线生成或打印;就像在京东购物一样, 您的鼠标点击几 次即完成在蚂蚁淘的采购,订单详情会告诉您所有进程。
售后申请: 耐心讲解 优质服务
蚂蚁淘提供的产品在使用过程中如因产品质量问题有售后需求时, 您可通过我的订单提交您的“申请售后”, 蚂蚁淘产品顾问会第一时间为您处理, 在售后服务过程中如遇到问题也可致电蚂蚁淘客服热线:4000-520-616。
2021-07-21
1mg/ml 查看更多
>
2018-04-25
上海研生实业有限公司所提供的羊抗人C3质量可靠、规格齐全,上海研生实业有限公司不仅具有精湛的技术水平,更有良好的售后服务和优质的解决方案,欢迎您来电咨询此产品具体参数及价格等详细信息! 查看更多
>
上海研生实业有限公司所提供的鼠抗人促黄体生成素抗体质量可靠、规格齐全,上海研生实业有限公司不仅具有精湛的技术水平,更有良好的售后服务和优质的解决方案,欢迎您来电咨询此产品具体参数及价格等详细信息! 查看更多
>
2021-07-30
上海研生实业有限公司所提供的鼠抗人α 亚基人绒毛膜促性腺激素(α -HCG)单抗质量可靠、规格齐全,上海研生实业有限公司不仅具有精湛的技术水平,更有良好的售后服务和优质的解决方案,欢迎您来电咨询此产品具体参数及价格等详细信息! 查看更多
>
2018-04-24
上海研生实业有限公司所提供的羊抗人IgG(全分子)质量可靠、规格齐全,上海研生实业有限公司不仅具有精湛的技术水平,更有良好的售后服务和优质的解决方案,欢迎您来电咨询此产品具体参数及价格等详细信息! 查看更多
>
2021-07-20
1mg/ml 查看更多
>
2021-08-08
焦作路非凡生物科技有限公司在发布的羊抗人IgM血清供应信息,浏览与羊抗人IgM血清相关的产品或在搜索更多与羊抗人IgM血清相关的内容。 查看更多
>
2018-04-10
上海研生实业有限公司所提供的羊抗人C3-FITC质量可靠、规格齐全,上海研生实业有限公司不仅具有精湛的技术水平,更有良好的售后服务和优质的解决方案,欢迎您来电咨询此产品具体参数及价格等详细信息! 查看更多
>
2018-05-21
焦作路非凡生物科技有限公司在发布的羊抗人IgG血清供应信息,浏览与羊抗人IgG血清相关的产品或在搜索更多与羊抗人IgG血清相关的内容。 查看更多
>
2021-08-05
PE标记的羊抗人IgG山羊抗人IgG(PE)的猫。量大小:100:0.1mg/ml浓度的缓冲液(0.01M TBS(pH7.4)与牛血清白蛋白(BSA)的1 %,0.03 %和50 %的proclin300甘油。背景:免疫球蛋白G(IgG抗体),是一个最丰富的蛋白在血清与正常水平的8 - 17毫克/毫升之间,在的血液。重要的是,我们的国防是IgG抗微生物和分子是B淋巴细胞产生的一部分,我们的自适应免疫反应。蛛网膜下腔出血(SAH)的IgG分 查看更多
>
2018-04-25
上海研生实业有限公司所提供的羊抗人C3质量可靠、规格齐全,上海研生实业有限公司不仅具有精湛的技术水平,更有良好的售后服务和优质的解决方案,欢迎您来电咨询此产品具体参数及价格等详细信息! 查看更多
>
2018-04-15
上海研生实业有限公司所提供的Anti-ACTH 1-39/FITC 荧光素标记兔抗人、大、小鼠ACTH抗体IgG质量可靠、规格齐全,上海研生实业有限公司不仅具有精湛的技术水平,更有良好的售后服务和优质的解决方案,欢迎您来电咨询此产品具体参数及价格等详细信息! 查看更多
>
常见问题
蚂蚁淘所售产品均为正品吗?
蚂蚁淘的创始人兼CEO是钟定松先生,具有十年的从业经验,在业界享有良好的口碑;
Ebiomall是跨境直采平台,我们直接从厂家采购,自己的团队负责国际物流和清关,中间没有第三方,蚂蚁淘承诺所售产品仅为正品,假一罚十。
下单后可以修改订单吗?
未确认状态的订单可以修改,打开“订单详情”页面,点击右上角的“修改订单”即可,若已审核确定,则订单无法修改。
商品几天可以发货?
现货产品付款审核后即可发货,大部分期货产品在3周左右即可到货,提供时必达服务的产品订单审核十天内即可发货。
订单如何取消?
如订单处于未确定状态,进入“我的订单"页面,找到要取消的订单,点击“取消订单”按钮。
可以开发票吗?
本网站所售商品都是正规清关,均开具13%正规发票,发票金额含配送费金额,另有说明的除外。
如何联系商家?
蚂蚁淘任何页面都有在线咨询功能,点击“联系客服”、“咨询”或“在线咨询”按钮,均可咨询蚂蚁淘在线客服人员,
或拨打4000-520-616,除此之外客户可在 联系我们页面找到更多的联系方式。
收到的商品少了/发错了怎么办?
同个订单购买多个商品可能会分为一个以上包裹发出,可能不会同时送达,建议查看订单详情是否是部分发货状态;如未收到,可联系在线客服或者致电4000-520-616。
退换货/维修需要多长时间?
一般情况下,退货处理周期为客户收到产品一个月内(以快递公司显示签收时间为准),包装规格、数量、品种不符,外观毁损、短缺或缺陷,请在收到货24小时内申请退换货;特殊商品以合同条款为准。
商品咨询
有没有战友有多余的一抗,抗人的IL4和IFNGAMMA_问答详情_抗人_...123
杨阳hysno12021-07-24
抗鸡_抗鸡【价格,厂家,图片,批发,采购】_123
gotlost12018-01-24
没什么大区别,单克隆抗体一般都是小鼠源的。
鼠抗人CD3单克隆抗体针对人的CD3 CD3单克隆抗体,要看其说明书,该抗体是否识别其他生物(如大鼠)的CD3.
直接抗人球蛋白试验阴性说明_高笑娜医生的语音科普_妙手医生123
qq3306543212018-01-24
阴性为正常!!阳性为不正常!
抗人球蛋白试验,又称Coombs’试验,是诊断自身免疫性溶血性贫血(AIHA)的重要依据。 正常人直接与间接试验均为阴性,Coombs’试验阴性有时并不能排除AIHA
TCR gamma/delta抗体 TCR gamma/delta antibody_价格厂家供应...123
sfzchx2004-08-10
小鼠抗人CD19单克隆抗体 123
守护天使angel2016-01-05
如题,有谁知道哪个公司有卖ratanti-humanCD19抗体的呀,找了很多家公司,都没有大鼠来源的,谁知道哪里有啊?谢谢了,实验急需。。。。。。
抗人球蛋白法 123
慕琳软妹⌒E3l2018-01-24
抗人球蛋白试验 又称Coombs’试验,是诊断自身免疫性溶血性贫血(AIHA)的重要依据。 临床意义是直接试验是检查被检红细胞上有无不完全抗体,间接试验是检查血清中游离的不完全抗体。
数模整合哪家公司做的比较好?大家知道吗? 123
淮南子2017-06-30
【求助】哪里有HRP标记的羊抗人IgE抗体卖? 蛋白质和糖学技术...123
tqch_31520042021-07-25
求抗人alphaSMA抗体 免疫学讨论版论坛123
快乐医生20072016-10-05
买了两支alpha-sma抗体,染色都不对,请问有哪位同事可以赞助点呢
兔抗人多抗会否与鼠细胞反应?兔抗人多抗是否会与小鼠细胞也反应...123
abb1112017-12-05
【求助】请教哪家公司卖好用的鼠源抗人的HIF1 alpha 抗体 蛋白质...123
kexia2021-07-26
你们用的HIF-1alpha的都是哪家公司的?购买了一支做不出来,公司答应换了一支相同货号不同批次的同样没有条带,一来一去两个月了,好耽误时间啊
山羊Mouse IgG + IgM + IgA多克隆抗体 123
兰色亭阁2021-07-23
![]()
▍
品牌分类
▍
品牌问答
|

